| 
										 
											最新の写真です
											 
									
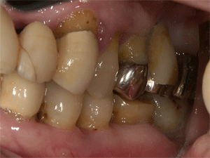
 上顎のブリッジを治しました   比較的よく歯ブラシできるようのなりました   残念なことに左下の7番(1番奥の歯)が抜歯になってしまいました。下顎は義歯を使用されています。 
 歯周精密検査です。10ミリ以上の深いポケットが残存しているところもあります。歯周病は完治したわけではないですが、患者さんの希望どうり「延命」処置はできていると思います。このような深いポケットが多くあり、患者さんの歯ブラシが不十分でも、歯を長持ちっさせることができます。患者さんが「抜いてください」と言われるまでがんばった結果です すべての患者さんが良い結果が得られるわけではありません。定期的に通院していただくこと。おうちでの歯肉縁上のプラークを落としてもらうことが重要です。歯科医院では、確実な歯肉縁下のプラーク除去と、確かな情報提供が大切になってきます  | 
								
| 
										 初診からやく6年たちました。少しは歯肉縁上の部分が磨けるようになってきました 
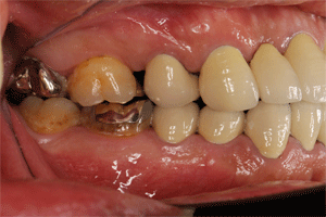
 この1年ちょっとの間に、かなりの介入がありました。   5本の歯が抜歯になり、補綴をおこなっています。   右上の1番抜歯、ここは6本のブリッジを作り直しています。前回まで、ヒビが入っていましたが、気にならないとのことなので、そのままでしたが、抜歯を期に新製しました 
 右上の7は抜歯をして、そのままの状態にしています 
 右下6と7は抜歯して、義歯を新製、左下5は抜歯して、ブリッジを作っています。抜いて欲しいとなるまで、がんばったのですが、このような結果となりました。少しでも抜歯の時期が遅れて、患者さんは満足されています。炎症の部位は42カ所、4ミリ以上のポケットは34カ所、減少するようにがんばっていきます 歯を抜きたくない 2010年 はこちらをクリック  | 
								
| 
										 
											患者さんもかなり高齢になられています。股関節の手術をされ、生活での制限も増えてきたとのこと。歯科医院に通院するのも大変だとか。入院などもされましたが、なんとか定期的に来院されています
											 
									
 口の中の変化は、相変わらず至るところから排膿していきます。プラークの残りは目立っています。セルフケアの限界を感じています。このころから、麻酔を使ってもいいと言われるようになりました。少し深いところは、麻酔を使用してのデブライトメントに変えていきます   下の右奥、左奥、動揺がひどくなってきています   通用なら、抜歯するのですが、抜歯をしたくないとのことです 
 歯周精密検査です。今後、×と書いてあるところが、どんどん悪くなって抜歯になっていきます。1本なくなると、連鎖的にどんどんなくなっていくのです 歯を抜きたくない 2009年 はこちらをクリック  | 
								
| 
										 患者さんの希望は、歯を抜きたくない、麻酔を使いたくない、ということです 
 ブラッシングがなかなか上達せず、歯肉縁上のプラークコントロールが十分ではありません。歯周病を良くするにはこれが一番なのですが、根気強くやっていきます   左上の奥から2本目の歯は何回も腫れを繰り返しています   何も咬めなくなり、食事ができないので、抜歯を決断されました。そしてブリッジを作成しました 
 欠損歯が1本増えました。歯周精密検査です、120カ所中、4ミリ以上の出血を伴うポケットは71カ所あります。治癒というより、現状維持、進行を遅らせる感じです 
 そしてレントゲン10枚法です。かなり、支持歯槽骨が吸収しています。 歯を抜きたくない 2008年 はこちらをクリック  | 
								
| 
										 
											絶対、歯を抜きたくないといっておられます
											 
									
 しかし、歯肉が腫れてきます   やっていることは、歯周病の原因であるプラークの除去、患者さん自身での歯肉縁上のプラークコントロールがなかなかできないので、なかなか腫れがひきません   この右の写真、口腔内では左になるのですが、上顎の奥2本、これがいつもぐらぐらで腫れてきます 
 ほとんと血まみれです。いつもはすぐに良くなる症例が多いのですが、現実、このようになかなか良くならない場合があります。歯周病は歯肉縁上の歯磨きができるか否か、というこに痛感させられる次第です 歯を抜きたくない 2007年はこちらをクリック  | 
								
| 
										 
											それから1年。口腔内写真とレントゲン、そして歯周精密検査です
											 
									  今回は左の上下顎に注目してみてみましょう。歯肉は腫れあがり、深いポケットが残存しています   歯周精密検査では顕著な改善は認められません。なぜ改善していかないのでしょうか? 歯周病の炎症が改善しないのは、プラークが残存しているからなのです 
 2つの理由があります。1つめは、ご自身のブラッシングのスキルが良くないことです。これは歯肉縁上のプラークコントロールといい、歯周病を治し、再発させないためには必須のことなのです。もう1つは麻酔を使えないので、歯肉縁下のデブライドメント時、痛みがでるので、十分に縁下のプラークを取り切れないことです 根気よく縁上の歯ブラシを指導していきます。器用な方でも磨き方を習得するのに、1年くらいかかりますし、ましてや、重度の歯周病、3〜4年かかるのではないでしょうか 歯を抜きたくない 2006年 はこちらをクリック  | 
								
| 
										 歯を抜きたくないといって来院されました 
 約7年前で良い写真が残っていないのです   歯肉は腫れあがり膿がでています。根面に歯石が写っています。レントゲン10枚法を撮影します 
 全顎的に骨が吸収しているのがわかります。重度の歯周病です 
 歯周精密検査です。とってもポケットが深いです。難題があります。麻酔を使いたくない。抜歯をしたくない。  | 
								
| 
										 
											19日、20日は神戸国際会議場で「日本口腔インプラント学会、第33回近畿北陸支部学術大会」が開催されましたので、参加してきました
											 
									神戸国際展示場にいってしまい(よく似てるでしょ)何かのコンサートがあるようで、怪しいメイクの女性が数多く出没しており、場違い感を感じていました。まったく逆の方向でした(笑) 
 教育講座では、吉田先生が「インプラント治療における全身管理について」講演がありました。この間も緊急薬「エピペン」を購入したばかりなのですが、全身管理は難しいもの、ヒヤリ、ハットがないように備えあれば憂いなしです。AEDも置いておかなくちゃね(困)  | 
								
| 
										 
											マージンライン・・・聞き慣れない言葉ですね。歯を削って、補綴物(クラウンなど)がくる境界のラインのことです。マージンラインの設定は結構難しいものです。昔は歯肉縁下1〜1.5ミリに設定していたのですが、現在は歯肉の辺縁に設定しています。日本人の多くは笑っても歯茎がぎょーと見える人はいないです。やはり、歯周病を勉強し、歯の長期予後を考えると、歯肉縁か縁上にマージンを設定するのが無難です。当然、審美を要求されるような場合は別です
											 
									  口元は唇を開き気味みしてもこんな感じ、ましてや歯肉に炎症があった患者さんです。そして、神経の治療をしていない歯がほとんとです。補綴屋さんと歯周屋さんの見解は違いますが、歯周病を勉強すればするほど、生物学が重要だと痛感します このような論議は多くありますが、患者さんが満足され、長期にわたり歯、軟組織が維持できればいいことなのです セラミックセットはこちらをクリック  | 
								
| 
										 
											上下のセラミックが完成しました。セットします
											 
									
 左上の2番目の歯(上顎真ん中から2番目)は舌側にありました。先端を手前に出しています。歯の方向は変えられますが、歯頚部のラインは変えることはできないのです。   患者さんは歯頚部が見えるわけではないので、何も気にされていません。顎が動きやすくなったといって喜ばれています   この状態で末永く維持できるように、メンテナンスをおこなっていきます 作業模型はこちらをクリック  | 
								
| 
										 
											審美的にきれいにしたいということで、歯肉の状態を健康に改善しました。上下顎の小臼歯までセラミック修復をします。形成して、印象、仮の歯で状態を見て、形成、印象、を何回か繰り返して、対合歯やコンタクト、歯の長さ、形態をチェックしておきます
											 
									  しばらくの間、仮の歯を使ってもらって、問題がなければ、最終の印象をおこないます   今回は、下顎を先に治療してから、上顎に移りました。その上下の作業模型です 歯肉の改善はこちらをクリック  | 
								
| 
										 約半年がたちました。腫れている歯肉が改善してきました 
 上顎は2本抜歯、前歯6本は仮の歯を作っておきます   セルフケアの向上と、プロフェッショナルケアをおこなっていきます   治療がうまくいっているか、治療の効果があったかは歯周精密検査で判断します 
 歯肉は見せかけはいくらでも良く見えるものです。プロービング時の出血の部位が22カ所になりました。以前は104カ所だったので、激減です。かなりよくなりました。これから補綴処置に入っていきます。 治療計画はこちらをクリック  | 
								
| 
										 
											治療計画は病気を治すこと、歯周病の治療に入っていきます。歯周病の原因は病原性プラーク、プラークを除去することにより、治癒にむかいます。どの患者さんも「朝晩、みがいているのになー」「ちゃんと、やっているのになー」といわれます。磨いていると磨けているはちがうのです。そう歯ブラシは本当に難しいのです。だから歯周病がなおらないのですけれど。そして歯肉をよくしたら、右上の内側に倒れている歯と、左上の2番目の歯を抜歯して上下の歯にセラミックでの治療をすることとなりました。
											 
									
 レントゲン10枚法はこちらをクリック  | 
								
| 
										 
											日本におけるデブライドメントとは「歯周病の原因となる歯肉縁下のプラーク、歯石、汚染歯根面、不良肉芽組織を除去すること。」と書いてあります。歯周病の原因はプラークであり、歯石でも、汚染歯根面でもないのです。確かに歯石は凸凹していますので、その上につくプラークは原因となります。つまり、プラークリテンションファクターなわけです。汚染セメントは今の論文では否定されています
											 
									では、 欧米では「歯肉縁下のプラーク、バイオフィルムを除去すること」となっています。歯周病の原因は歯周ポケットの中にゆるくくっついているだけなのです。これを取れば歯周病の進行は停止し、健康な歯肉になるのです。そこで、考えられたのが超音波スケーラーのEMSです。 徹底的な予防は、諸悪の根源「プラーク」を徹底的に除去することなのです 歯医者のイメージ「痛い」「時間がかかる」「待たされる」から「痛くない」「はやい」「待たない」という方向になってきています 
 (ネットから勝手に拝借)  | 
								
| 
										 
											レントゲン10枚法です。まだ若い方なので、骨がすごく溶けている状態ではありません。4ミリ、5ミリのポケットです。審美的にきれいになりたいという願望があるのですが、歯肉の状態が健康ではありません。まず、口腔内の病気の原因、プラークを取り除いていきます
											 
									
 そのため、患者さんのセルフケアのレベルアップから始まります。昨今感じることは、やはり、患者さんのブラッシングレベルが上がらないと、長期予後が悪くなってしまいます。でも患者さんはちゃんと磨いているのになーっておっしゃるんです。上の部分が磨けるようになったら、衛生士がポケットの中のばい菌をデブライドメントしていきます。「デブライドメント」なんて聞き慣れない言葉でしょうが、今後歯周治療の中心となる言葉です。これについては次回アップします 歯周精密検査はこちらをクリック  | 
								
| 
										 
											日曜日、松風主催の東先生の「歯周治療実践コース」に参加してきました。歯周病治療もパラダイムシフトがおこり、欧米に比べ、日本は治療が遅れていると実感しました。歯医者は痛い、待たされる、時間がかかる、といったイメージなのですが、今の治療は痛くなく、時間道理、そしてなにより治療期間が短いといった病院システムつくりが必要だということでした。ルートプレーニングといい、根面をガリガリおこなう治療から、デブライトメントという術式に変わってきています。これは超音波を使い、病気の原因プラークを選択的に除去する、という考えに基づいています。疾患を治癒させるには、原因除去療法が1番効果、効率がよいということでした。そしてEMS(超音波スケ ーラー)を用いた体験や、オペの見学もあり、とても参考になった講習会でした。
											 
									   | 
								
| 
										 
											きれいになりたいということで来院されました。歯周病があるのかないのか、歯周精密検査をおこないます。1本の歯について6カ所ポケットの深さを調べていきます。と、同時にポケットからの出血をみていきます。出血があるのは、炎症、つまり病気があることを意味しています
											 
									
 その結果、162カ所中104カ所からの出血です。炎症の部分が多いです。健康な状態は1割といわれていますので、16〜17カ所で健康とみなしています。それに比べれば、10倍近く悪いです。では歯周治療をおこなっていきます。こんな状態で治療すれば予後が悪くなってしまします きれいになりたい はこちらをクリック  | 
								
| 
										 
											きれいになりたいという主訴で来院されました
											 
									
 前歯の虫歯が気になるとのことです。プラスチックの材料が埋めてあったり、変色、また新たな虫歯ができています。はのでこぼこも気になるそうです   いろいろとお話をお伺いして、口腔内写真を撮影します   資料採得には、レントゲン写真、歯周精密検査が必要です。そして、現状のお口の中がどんな状態なのか、理解してもらい、また何ができるのかを説明していきます。そこから希望に応じた治療が始まっていきます  | 
								
