|
本日午前の診療で2013年の仕事納めです。1年間長いようで、あっというまでした。1998年に開業、15年の月日が経ちました。英語のスキルアップに論文読破、など頑張ってきましたが、恐ろしいほどの情報量で、消化しきれない状態に陥っています。海外の学会に参加したり、国内の講演会、いろんな先生にあい、そして刺激を受けてきました。本年は、12月に参加したエルバのアドバンスコース、これが非常に参考になりました。免疫学と細菌学、2日のコースでしたが、新たに勉強しないといけないのは、この分野ですね。来年はしっかりと本を読んで知識を増やし、臨床にいかせればと思います。実は免疫学と細菌学は超苦手な分野なのです。英語も苦手ですが・・・。でもその苦手にチャレンジして、大きく高い壁を乗り越えるところに面白さがあるのです。また歯科医師としての「やりがい」を感じています。ちょっと方向的に変わってきていますが。なにわともあれ、自分でいうのも何なのですが、年々勉強をするようになってきました。と、いうより、いろんなことが臨床でリンケージし始め、なにかが見え始めてきたようの思います。たかが「生物学」ですが、この風呂敷の大きいことったら。できる範囲で来年も頑張っていきます
そしてお昼はスタッフと食事へ、今回は「魚屋平兵衛商店」へ楽しいひとときをすごしました。今回はゲストとして、モリタの材料屋さん前担当「緩詰夫妻」が来てくれました。1時過ぎに行きましたが、帰ってきたのは3時少し前になっていました。そして、病院の大掃除をして、終了です。来年もよろしくお願いします。 おくばせながら、いつも頑張ってくれるスタッフに多謝多謝!! |
|
前回オープンコイルで広げたところにワイヤーを通していきます。凸凹をなくしていきます
犬歯の遠心移動は継続中です 飛び出ている犬歯がありますが、唇面に装置をつけると当たって痛みや口内炎ができ、ろくなことがないので、舌測面にボタンの装置をつけて、ゴムで引っ張っていきます 犬歯の出っ張りがある程度なくなったら唇面に装置をつけていきます。少しずつうごいていますね・・・ |
|
最初の段階は犬歯の遠心移動です。アンカーとしたパラタルレストからゴムで引っ張っていきます
歯の凸凹がありすぎて、ブラケットにワイヤーが通らないところは、オープンコイルを入れて広げていきます。左写真の下顎の真ん中のところくねくねしたコイルが入っているのがわかりますか・・・ |
|
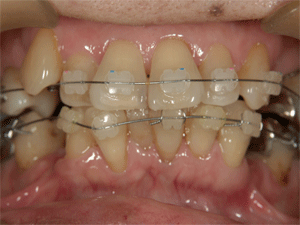
上下の歯にブラケットをセットします。凸凹がひどくて付けられないところは、ある程度歯が動いてから付けるようにします
ワイヤーは1番ソフトなものを使用します 上顎にはパラタルレストをセットします。取り外し式や、レジンを使う方法もありますが、院長はこのタイプのものを好んで使用していますロー着とセメントなので動くことがなく、しっかりしたアンカーとなるからです バンドセットはこちらをクリック |
|
今日はクリスマスイブ〜♪チキンを食べて、ケーキを食べて、ジュースやお酒を飲んで、各自のサンタさんからプレゼント♪とっても幸せなイベントですよね(^^)
今年も福田歯科医院に院長サンタさんが登場し恒例のケーキプレゼントです(^o^)/とっても美味しかったです(*^_^*)先生、今年もありがとうございます!
昨年のクリスマスケーキはこちらをクリック |
|
大臼歯にバンドをセットします。バンドを試適して。印象します。模型にして、写真のような装置をつくります。これは上顎の内側につける装置で、アンカーとなるものです
こちらはブラケットコンテナー。各歯につけるブラケットが入っています そしてセットしたところです。前歯は審美的に白い材料を使っています。臼歯はメタルのブラケットを使用します |
|
レントゲンを撮影、治療計画を立案していきます。歯並びをよくしたく、審美的にも綺麗にしたいとのことです。矯正で歯並びをよくして、セラミッククラウンでの修復を希望されました。
レントゲンでも多くの情報を得ることができます。治療の順序としては、抜歯をして、スペースをつくり、矯正の装置をつけて、歯並びをよくして、根の中の治療をおこない、セラミックで修復することを説明し、了解を得て、治療に入りました。この部分は患者さんの希望が人それぞれで、望まれることも違うので、治療のゴールが全く変わってくるところです。十人十色といいますが、100人100治療です |
|
左の下の歯が痛いということで来院されました
まずは主訴の改善から行います 痛みを取ることは先決です。左下の中央から4番目の歯、右の写真の、右側の奥から4本面の白い被せものがしてある歯です。根の先に病巣を作っています。外して膿を出していきます レントゲンを撮影して、口腔内写真、必要ならば歯の模型をとります |
|
大忙し、大忙し・・・
12月14日は熊本で「東歯周病研究会総会」があり参加してきました。これは日本歯周病学会認定教育機関で、認定医、専門医を教育するための研究会です。歯周病の症例をプレゼンテーションしたのですが、その資料作りに先週は大忙しでした。約1年分の口腔内写真をチェックして、歯周精密検査、デンタルレントゲン10枚法と、患者さんの変化の記録を精査しました。大変でしたが、こんな機会がないと、見返すことはあまりないのでよかったです。夜は和食「島崎」というお店で馬刺し食べてきました |
|
12月7日、8日、東京築地でエルバ主催の「アドバンスコース」があり、参加してきました。
歯周疾患=プラーク(毒力)×時間(年月)÷宿主の抵抗力 という「公式」でなりたっています。 プラーク(毒力)とは「細菌学」、宿主の抵抗力とは「免疫学」、今回のアドバンスコースではこの「細菌学」と「免疫学」の話でした。実はこの2つ、とても苦手な分野なのです 1日目は細菌学について。細菌の種類や、働き、特性、炎症の成り立ち、極悪菌Aa菌についてでしたが、内容が難しく、すぐに理解できませんでしたが、ノートで復習が必要です。 夜は忘年会で一杯やってきました。 2日目は、免疫学、こちらは細胞の話で、さらに難しかったです。免疫応答、免疫グロブリンやインターロイキン、いあやー登場人物が多くてこんがらがりますな・・・ 5冊本を紹介されましたが、1冊は持っていましたので、早速4冊ネットで注文しました |
|
下顎の内側がふくれてきて、舌が動かしにくく、発音や咀嚼がしにくいということで、骨の隆起の除去を希望されています。
みごとな「2こぶラクダ」じゃなく、2こぶ骨隆起で合計4つあります。片側づつの手術となります。除去する時間は2こぶで10分から15分くらいです。麻酔や止血をふくめて30分前後の治療時間となります。よく見てもらうと、右写真の左側の内側は縫合の白い糸があります。これ術直後なのです そんなに腫れることも、すごく痛むこともありません。膿ができて炎症を起こしているわけではなく、健康な組織に侵襲を加えているのからでしょう。患者さんは舌が別人のようになったと喜ばれていました 院長は卒後、口腔外科に在籍しておりましたので、このような軟組織、硬組織の小手術は問題ありません(再掲載) |
|
市内の矯正の先生から埋伏歯の開窓手術を依頼がありました。矯正中なのですが、乳犬歯が残存しており、犬歯が口蓋側に埋伏しているようです。軟組織を切開除去、少し骨に埋もれていましたので、骨を削除、立派な犬歯を発見しました。これに装置をつけて、歯列の中に動かしていきます。後は紹介医へ通院してもらいます
内側に見えているのが、埋伏している犬歯です。ちょうどとがっているところが見えています。お借りしたレントゲンを写真撮影するのを忘れておりました。あしからず 院長は卒後、口腔外科に在籍しておりましたので、このような軟組織、硬組織の小手術は問題ありません |
|
12月です。カレンダーも残すところ1枚となってしまいました。先生も走る「師走」です。
11月30日、土曜日は午前の診療が終了後、京都の歯科医師会に講演を聴きにいってきました。学校歯科の基礎研修で、「学校歯科医生涯研修制度」の修了書を頂きました。その後大阪に移動し、城東区開業下地先生と「しゃぶ亭」に行きました。下地先生とは2006年にイタリアパドバで一緒でした。近況の情報交換を行いました。牛しゃぶ、豚しゃぶ、食べ放題でしたが、さすがにおなかも満タンで写真がハレーションを起こしてしまいました 12月1日は大阪ブリーゼプラザでジャシド創立20周年記念特別講演会に参加しました。カナダ開業のDavid M Vassosという先生でとても良い話がきけました
|
