| 全顎的に治療しました
左が術前、右が術後です。前歯でかみ切りにくかったそうですが、改善したそうです 見えるところはセラミックで、見えないところはメタルで修復しています 右下の親知らずを保存不可能で抜歯していますが、咬むのには問題ないそうです 右上の咬合痛が主訴で来院されましたが、まだ残っています 長持ちするように、2〜3ヶ月に一度のメンテナンスを行っていきます |
|
上下の被せものの治療の場合、通常下顎からおこなうのですが、今回は上顎から治療をおこなっていきます 古い被せものを外して、根の治療、土台の治療で、右下の一番奥の歯が抜歯となってしまいました。親知らずの歯です。1本なくなってしまいましたが、咬むことには不自由がないとのことでした。 上顎治療後、下顎の治療をしていきます。 |
| メンテナンス中のレントゲンは歯周病の悪い人で2年に1回、よい人で3〜4年に1回撮影します。肉眼ではみつけられない骨の中の状態や、被せものの中でのむし歯の広がりを確認するためです
このようにレントゲンを撮って現状の説明をしていきます。以前にいろいろ治されているのですが、今回、全体的な治療を希望されました。根の中の治療をおこない、土台をたてて、被せものを行っていきます |
| メンテナンスはなかなか日本では定着していないようです。予防先進国スエーデンでは80%の人がメンテナンスを定期的に受診しているようです。日本ではなんと10%代とか、14%とか16%です、確か。当医院でもメンテナンスに力を入れているのですが、なかかな定着しないのもまた事実であり、やりがいのあるところでもあります。一度定着すると、メンテナンスで来院してもらうのが普通となる方もいらっしゃいます
そんな患者さんです。
口の中で不具合が生じた時のみ歯科医院に通院されていたようです。あっちを治し、こっちを治し、何かあると治療されていたようです。 メンテナンスの話をすると、歯では昔から苦労してきたとのことでした。是非、悪くならないようにしたいとのこと、メンテナンスに入りました。 そして、3年、4年やっていると、歯肉もよくなってきて、口の中の不便さを感じなくなってくるのです。右上の最後方臼歯もだましだまし維持しています |
| 16日(日)に東京で行われた歯周病の講習会に参加してきました。日本歯科大学歯周病学講座准教授の関野愉先生による「ペリオの疑問を解決する時間」についてです。
何をもって歯周炎が治癒したと判断できる? 抗菌療法は有効? SPT時のエアポリッシングの効果は? など20項目のエビデンス(科学的根拠)についてお話がありました。 海外の論文をとても分かりやすく説明してくださり、日常臨床とエビデンスを合わせながら考えることができ、大変勉強になりました。 また、当医院で行っている歯周治療、メンテナンスがエビデンスに基づいていることが再確認できました。 今回、勉強してきたことを明日からの診療に役立てていきたいです。
(福田 早苗 記) |
| 病気を治療するには、審査・診断が必要です。審査をして情報を採取して、データーをもとに診断をくだします。そして治療計画をたてて、治療説明をして了解のもと治療が開始されます。また治療は計画のゴールへ向かい、メンテナンスで長期の予後をよいものとします。歯科で一番こまってしまうのは、「とりあえず」といわれる時です。「とりあえず、つけてください」「とりあえず、痛みだけ・・」「とりあえず保険で・・」などなど。いつもいっているのですが。「とりあえずじゃなくきちんとした治療をしていますよ」と。「とりあえず」って便利なフレーズですね。痛かったら歯科医院に来院する、困ったら歯科医院に来院する。「とりあえず、ここだけ」「とりあえず、保険で」・・・困りましたね。日本ではメンテナンスで歯科医院に通院するのが10数パーセントだとか。スエーデンでは80パーセントといわれています。ひとえに保険制度の違いなんでしょう
じゃ「とりあえず」インプラントしときましょう。なんて怖い話になりますね。インプラントができる人はちゃんと定期的なメンテナンスに生涯にわたって通える人なんです。歯を失わなくするには、ちゃんと定期的なメンテナンスで歯科医院通院することが必要なんです。「とりあえず」治療するのはやめましょう。 さて、
レントゲン10枚法。右上の一番奥の歯(写真では左上一番奥)の歯根膜がより黒く写っています。これが痛みの原因です
そして、歯周精密検査です。検査から、歯周病というより、むし歯で歯が悪くなっている感じです。かみ合わせの調整とメンテナンスをおこなっていきます |
| かむと右上が痛い、ということで来院されました
口腔内写真です。この頃の写真はいまいちですね。お許しください 右上(写真では左の一番奥)の一番奥の歯が悪くなっています。レントゲンで確認。状態があまりよくありません 口腔内は多くの修復物で治療してあります。以前に多くのむし歯だったことがわかります。かなり歯では苦労されているようです。 |
| バレンタインデーには女性スタッフからチョコならぬ赤ワインを頂きました。ある意味「ガソリン」になっています。
昨年のバレンタインデーはこちらをクリック |
|
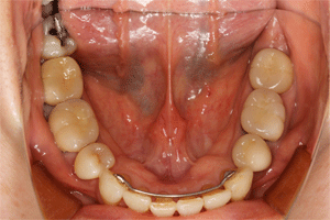
初めに矯正をして、後半仕上げでセラミッククラウンで治療した術前と術後です。左が術前で右が術後です。カメラが違うので色や大きさが違うのですがご了承ください 前歯部の凸凹が気になるということで来院されました。矯正をしたので、きれいな歯並びになりました 上顎は左右の第一小臼歯を2本抜糸しています。右の上の犬歯(糸切り歯)が一番気になったようです 下顎も左右の第一小臼歯を2本抜歯して、そのスペースで歯の凸凹をなおし、銀の被せものはセラミックで修復しました。きれいになり満足されています 右の側方面観です。犬歯が内側に入ってきています 上下とも1本歯を抜歯しているのがわかりません。今後の2ヶ月に1度のメンテナンスをおこない。歯周病およびむし歯の発症を予防していきます |
| 8日、9日は東京でインプラント学会があり参加してきました。と言いたいところですが、土曜日は低気圧の影響で大雪、東京も何年かぶりの20㎝越えとか。そんなわけでで、土曜日、すこし早めに仕事を終えて、伊丹空港に向かいました。な、なんと舞鶴若狭道が雪の影響で通行止めです。京都まわりで行くこととして、京都縦貫道、大山崎、名神高速と乗り継いでなんとか3時のフライトに間に合いました。が、なんと、東京地方の雪の影響でフライトキャンセル、その日は全ての羽田行きがキャンセルになってしまいました。仕方なく、日曜の朝一のフライトに変更して、伊丹の空港ホテルにチェックインしました。本日満室の立て看板がありましたが、運良く1部屋あいたようで、無事泊まることができ ました。とんだ足止めをくってしまいました。日曜日朝2本の羽田行きがキャンセルになっていました。しかも席がとれるのが午後の便とのこと、8時発にキャンセル待ちをかけて、無理なら帰ろうと考えていました。まーなんとかキャンセルがあり、無事搭乗できました。羽田では滑走路の除雪作業と離着陸がかさなり、なかなか着陸できませんでした。
そんなわけで10時半過ぎに会場の新宿京王プラザホテルに着きました。今回の目当ては、Roos-Jansaker先生の講演です。Peri-implant infection the important role of the dental hygienistという演題でした。しかし先生も昨日、成田空港に到着、成田で足止めをくってしまい、なんと成田のホテルとネット回線をつないでの講演でした。スカンジナビア系、リンデ教授系の話しはとてもエビデンスがしっかりしており、とても勉強になりました。読んだことのある先生の講演はとても刺激的です。論文を書いた先生が目の前で講演しているのはちょっと興奮を覚えます。昨年のモナコでの学会でも感動しましたが、よいものです。 そして6時の羽田発のフライトもきちっと50分遅延となり、ぐったりです。とっても疲れた2日間でした |
| 月に1度スタッフミーティングをしていますが、1月は行いませんでした。2月3日が本年最初のスタッフミーティングになりました。病院としての目標は、より痛くない治療を目指し、そして快適に通院できる環境作りということです。そしてスタッフ各自の本年の目標です
古川智子・・・治療の前後、次回の内容など、患者さんへの説明を分かりやすいように伝えるようにする。話すスピードに気をつける 片岡国代・・・患者さんに定期メンテナンスの重要性を受付などで伝える機会があれば、理解して頂けるようにお伝えしていく。不安や緊張をかかえて来院された患者さんにはリラックスして受診して頂けるように声かけや心配りをする 井川洋子・・・患者さんとの小みぃにケーションもとりつつ、正しい知識・情報が伝えられる様に、アシスタントで患者さんとお話しする時や、受付でできる様にしたいです 伊藤ゆかり・・・最近は特にミーティングで勉強したことを患者さんに説明できるようになってきた。そうすると、患者さんの反応がよく、手応えを感じるようになってきた。口腔内に関心のない人も興味をもってもらえるように説明、情報提供をしていきたい 芦田就栄・・・メンテナンスに入って間もないような患者さんに対しては、毎回しつこいようでも、病気の原因はプラークである。なぜ通院しなければならないかなど説明する。患者さんを正しく評価する。そしてドロップアウトを減らしていく 中井真智子・・・メンテナンスの説明では、患者さんにあった言葉、内容を心がけ理解して頂けるようにしたい。新しい情報を取り入れ、伝えられる様に知識を増やせるよう勉強する 福田早苗・・・一方通行の情報提供ではなく、患者さんに理解して頂けるよう分かりやすいことを常に心がけ、セルフケアの向上、維持、メンテナンスの継続につながるようにしていきたい 本年も歯科医院自体が成長できるような、環境をととのえていきたいと思っています。どうかよろしくお願いします。 |
| 2月1日土曜日の午前中診療後、午後は恒例の? ICのテープおこしをしました。
今回は院長とスタッフ4名で頑張りました!!前々日まで5時終了の予定でしたが院長の予定があいたので7時までして、食事に行くことになりました。 途中、30分の休憩をとって、院長からの差し入れをいただきました(^^)今日は和菓子を3種類もいただきました。生姜湯もいただいて、ほっとしたひと時でした。 さあ、その後はみんなもくもくと頑張ります!!食事会の為にっ!調子よくやりだすと結構時間が早く過ぎた気がします。 食事会は某衛生士さんがおすすめの「楽庵」へお邪魔しました。外からは店内の様子が全く分からず扉を開けると多くのお客さんがいらっしゃいました。まずはみんなビールで乾杯です。一口目がやっぱり美味しいですね(*^_^*)本日のおすすめから、カレイの素揚げ、舞鶴産の岩牡蠣蒸し、お造り盛り合わせ、じゃがバターを注文し、その他のメニューからも海鮮カルッパッチョや大根サラダ、串揚げの盛り合わせなど沢山頼みました。 仕事の話や楽しい話が沢山できてとっても楽しい時間でした(^^)院長、ありがとうございました。また、楽しみにしています。 (井川洋子) |
| 早い物でもう1月が終わり、2月になりました。寒い日々が1週間ほどあれば、3月下旬の陽気です。また火曜日から寒くなるようなので、体調管理には気をつけてください。
矯正が終了し、セラミッククラウンをセットします
審美的な修復を希望され、きれいになって喜んでおられました その作業模型と補綴物です |
