|
||||||||||||||||||||||||||||||||||||||||||||||||||||||||||||||||||||||||||||||||||||||||||||||||||||||||||||||||||||||||||||||
|
水曜日と土曜日の午後はインプラントの手術がない日は、院長や歯科衛生士が参加した勉強会のICのテープおこしをしています。当初は院長と歯科衛生士で作業していましたが、昨年からは助手さんにも加わってもらっています。ICも1個、2個、3個、4個と増え、PC(動かしづらいのですが)も使い、作業がよくはかどるようになりました。イヤホンも初めは白と黒だけでしたが、レッド、コバルトブルー、ピンク、サーモンピンク、と色も豊富に揃っています。イヤホンは性能だけじゃ物足りないんです。色が大事なんです。誰にも言っていませんが、色物のイヤホンが増えたこととても嬉しかったんです。綺麗な色を見ているだけでウキウキしていました。たかがイヤホンと思われるかも知れませんが……そ れにしても院長が可愛い色の…買われている所を思い浮かべると…見直しましたよ、院長! 欲を言うならその日の気分によってもっと色、替えたいな、なんてねー。 まずは前菜で出てきたのは、”水牛のモッツァレラとトマトのサラダ”あっさりしていてスッと口の中でなくなる感じ。いくらでもいけます。色鮮やかなサラダでした。 待ってました。”本日のトスカーナ式オムレツトルティーノ”イタリア産ホワイトアスパラが入っています。なめらか。シェフがおっしゃってました。「イタリアへ行かれたら、是非、アスパラを食べて下さい。」と。 何を食べても美味しいからパスタはもうお任せします。”活アサリのナポリ風スパゲッティ”を出して頂きました。ナポリ風ということでプチトマトであっさりと仕上がっていて、これもいくらでもいけます。 メインは”骨付き仔羊ロース肉の香草焼きスコッタディート”3本を4本にしてくれてました。香ばしいこと、ワインによく合います。メインの前にシェフが心配してくれてました。「結構召し上がられましたけど、まだ大丈夫ですか?」って。「大丈夫でーす。」「作って下さーい。」「持ってきて下さーい。」皆で一斉に口々に叫んでしまってました。 |
| 昨日、東京であったプラークコントロールセミナー実践編(半日コース)に行ってきました。 今回は午後からなので、早朝に福知山を出発しました。田舎者なので、乗り換えがスムーズにいけるか心配していましたが、案の定有楽町で迷ってしましました。でも、口と耳と目があったので、何とか新富町まで到着しました。 肝心なセミナーなのですが、1番のりで着いて、前から2番目の席でしっかりきくことができました。 口腔衛生指導=セルフケアの確立のことであり、そのためにはその人の状況にあったその人にとっての適切な器具の選択、その次に正しい評価ができないとおうちでのセルフケアのサポートができない、次に来院して頂ける様なサポートはできているのか。 歯ブラシ指導は強制しない、規格化しない、楽しめる、気持ちいいと感じること、受け皿になってあげる事が大切であり、歯科医院でしかできないものでないとだめ。赤染めしてここに残っていますよというのは良くない。(鏡を見てもらいどう思いますか?気になっているところは、どうしますか?やってみて下さいというふうに、もっていくやり方をされている。) 口腔衛生指導が続かない理由は、楽しくない、同じ事ばかり繰り返す、心がこもっていない、いつも同じ事ばかり、磨けてないとばかり言われる、結果が見えない 患者さんには口腔内のちょっとした変化(咬んだの?、口内炎とか)も、次回きていただくためにも、必ずお伝えする 患者さんが、望んだ時に望んだ治療ができるように普段から口腔内環境を整えておく必要がある その他、盛りだくさんお話しして頂きました。 その後の、TBI、立川さんの症例の検討会では、こんな意見もあるんだと思うような意見も出ていました。 (芦田 就栄 記) |
| 左側が術前で、右側が術後です。カメラが変わりましたので、縦横の比率が違います。すこし見にくいいですね。あしからず・・・
上顎はすべて被せています。咬合の高さを少し高くしています
初診時、プロービング時に出血する部位は80カ所ありました。また、4ミリ以上で出血するポケットは32カ所ありました。
長期にわたる歯周治療の結果、プロービング時に出血する部位は5カ所、4ミリ以上で出血するポケットは0カ所になりました。 1本抜歯することとなりましたが、咬むことにはなんら問題はありません。 |
| 治療後半年たちました。写真をアップしていますが、ほとんど変わりありません。当然ですが・・・変わった方がこまります。
治療も大変なのですが、これを長年に渡って維持することの方がもっと難しいのです。 半年もてば、1年もちます。1年もてば、3年もちます。3年もてば、5年もちます。5年もてば10年もちます。10年もてば20年、30年もつでしょう。(トラブルもありますが) メンテナンスが重要なのは、口の中を悪くするプラークが存在するからです。これから生涯にわたる衛生士によるメンテナンスを行っていきます。 |
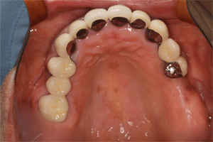
| 上部構造がすべてかぶりました
咬み込みが深かったですが、全体的に高さを高くしたため、理想的な高さになりました 奥の部分も義歯やインプラントという方法もありますが、患者さんが要求されませんでした。 残っている天然歯で充分機能しますし、咬むのにはなんら問題はありません。今後は2〜3ヶ月に1度のメンテナンスを行い、長期にわたり、上部構造そして歯周組織を維持していきます |
| 左右の上顎臼歯のかぶせものが終了しました。上顎の前歯の修復です。セラミックで仕上げていきます
歯茎がどどーと見えるタイプの方ではありません
綺麗にできあがり、患者さんも満足されています |
| 右上から治していきます。セラミックブリッジです。
上顎は3つのパートに分けて作成していきます。次回は左の臼歯部です |
| 久々ですが、・・・あー忙しい。とにかく時間がない・・・
さて、上下顎、仮歯がはいりました。下顎から最終の補綴物を作成していきます 作業模型と補綴物です。左右の下顎をセットしたあとで、上顎に移っていきます |
